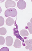
The infamous cane toad does play a role in the story of Myxidium, but in a different manner to what was originally suspected. A collaborative group of researchers from Australia and the Czech Republic found that instead of bringing Myxidium to Australia, the toad has become embroiled in an ecological phenomenon known as "spillback". This is when a native parasite adopts a newly introduced host, this new species turns out to be a better host for the parasite than the native species it was originally infecting, and the parasite propogates more successfully in the new host species.
This can have dire consequences for the original host because the introduced species acts as an ampilifier for the parasite. As a result, the original host become exposed to more of the parasite than ever before. Because many parasites often have dose-dependent effects, this can mean a parasite, which would otherwise be tolerated, can become debilitating or even deadly to its original host.
Reference (and photo):
Hartigan A, Fiala I, Dyková I, Jirků M, Okimoto B, et al. (2011) A Suspected Parasite Spill-Back of Two Novel Myxidium spp. (Myxosporea) Causing Disease in Australian Endemic Frogs Found in the Invasive Cane Toad. PLoS ONE 6(4): e18871. doi:10.1371/journal.pone.0018871

