"So, naturalists observe, a flea has smaller fleas that on him prey; and these have smaller still to bite ’em; and so proceed ad infinitum."
- Jonathan Swift

September 15, 2010

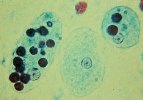
September 15 - Entamoeba histolytica

Entamoeba histolytica is one of the most common parasites of humans and apes, with some estimates going as high as 50 million people infected worldwide. These single-celled amoebae are ingested as cysts that are shed in feces of other infected hosts. The protozoa excyst in the intestines and multiply there, usually resulting in symptoms ranging from mild diarrhea to full-on amebic dysentery. Eventually, they can bore through the intestinal wall and begin to infect other tissues such as the liver, spleen and brain. The amoebae will even gobble up red blood cells as seen in the photo (the dark circles in the outer two cells). Interestingly, it is now known that many suspected cases of E. histolytica that are based on microscopic examination are actually those of Entamoeba dispar, a benign species, which is actually up to 10 times more common that it's virulent cousin.

1 comment:

  1. I found it interesting that most suspected cases of E. histolytica were actually the commensal E. dispar when examined withe a microscope. I would normally assume microscopic examination would be enough to distinguish two different species. Also, I found it interesting that histolytica can consume red blood cells instead of bursting them like with malaria.

    ReplyDelete