
Back in July, you met
Lepeophtheirus salmonis, now meet
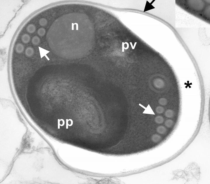
Desmozoon lepeophtherii the hyperparasite that makes a living by infecting that particular parasitic copepod.
Desmozoon lepeophtherii is a microsporidian, a diverse group of unicellular parasites that are the sister group to the fungi. Microsporidians infect a wide range of animal hosts, thus it is not surprising that even a parasitic copepod is not off-limits. Interestingly, genetic analyses indicate that the closest relatives of
D. lepeophtherii are microsporidian in the genus
Nucleospora, which are mostly parasites of salmonids. It is possible that for some reasons, the ancestor of
D. lepeophtherii opportunistically made the jump from infecting its original fish host to infecting the ectoparasites which infects the said fish.
Reference:
Freeman, M. A. and Sommerville, C. 2009.
Desmozoon lepeophtherii n. gen., n. sp., (Microsporidia: Enterocytozoonidae) infecting the salmon louse
Lepeophtheirus salmonis (Copepoda: Caligidae). Parasite and Vector 2:58.
Contributed by
Tommy Leung.
No comments:
Post a Comment