
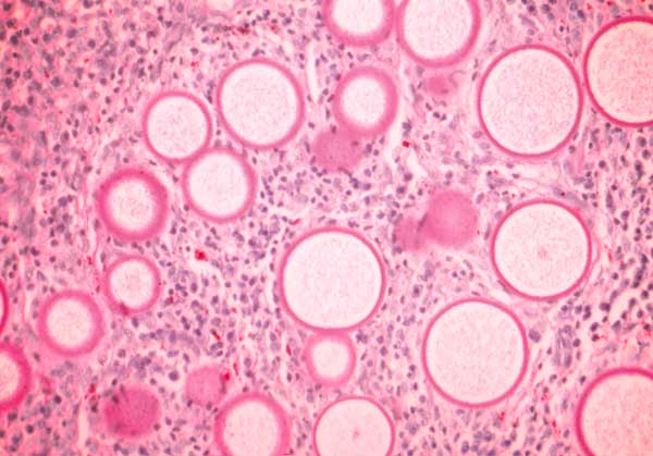
Rhinosporidium seeberi is a bit of a mystery. It is found primarily in India and Sri Lanka and causes a disease known simply as rhinosporidiosis, which is an infection in the mucosal tissues of the nose, pharynx, and sometimes the eyes. The organism is a member of the group Mesomycetozoea, which are single-celled organisms thought to predate the split between animals and fungi. The natural history of these parasites is also not very well known - they are thought to occur in water and possibly soil and infect people when tissues are exposed when they bathe in common ponds. The image come from this website - if you're brave, open that link for some pictures of the infection in people.
No comments:
Post a Comment